Acta Scientific Ophthalmology (ISSN: 2582-3191)

Research ArticleVolume 4 Issue 3

Determination of Glaucoma Grade with Cup to Disc Ratio

Jyoti Patil* and Sharmila Chaudhari

PDEA’s BGC College, New Sangvi, Pune, Maharashtra, India

*Corresponding Author: Jyoti Patil, PDEA’s BGC College, New Sangvi, Pune, Maharashtra, India.

Received: January 25, 2021; Published: February 16, 2021

Citation: Jyoti Patil and Sharmila Chaudhari. “Determination of Glaucoma Grade with Cup to Disc Ratio”. Acta Scientific Ophthalmology 4.3 (2021): 44-53.

Abstract

  Assurance of the vertical cup/plate proportion (CDR) chooses glaucoma suspect. For ordinary eye, the even C/D proportion is generally bigger than the vertical C/D proportion, yet considers have demonstrated that the vertical proportion progress quicker in ahead of schedule and transitional phases of glaucoma. In our exploration we have measure real size of the cup and optic plate. This examination is chip away at optic plate restriction/location. At that point by optic plate division and by Optic cup division, we discover little circles as having vertical widths under 1.5 mm and enormous circles as having vertical distances across more prominent than 2.2 mm. we choose grade like on the off chance that C/D proportion is 0≤CDR≤0.4 at that point eye is ordinary. On the off chance that C/D proportion is 0.4

Keywords: Glaucoma; Cup/Disc Ratio (CDR); Segmentation

Introduction

  Glaucoma is serious eye disease which is responsible for increase in intraocular pressure on retina (IOP). Because of increase in IOP, it directly affects on other retinal internal structure.

Figure 1: Glaucoma disease.

  Figure 1 shows human eye image, having glaucoma disease. In these images we can clearly observe damages in optic disc due to intraocular pressure on retina (IOP) on retina. Intraocular pressure on retina (IOP) is responsible for increase in pressure starts damages in retinal nerve fibres, small vessel, Thus we can observe change in pattern of retina which leads diabetic patients to blindness [1,2]. In some patients there may be other symptoms like endovascular eye disease. This means new tiny blood vessels may grow on iris. After few years these buddle of vessels may damage and unwanted fluid may flow through these vessels. Sometimes these blood vessels may have blockage or blood clotting which may be the big hurdle in blood flow in eye or sometimes becomes reason for increase in pressure. This increase in eye pressure further leads to increase in or change in size and shape of cup and disc are causes blur vision [5,6]. Figure 2 clearly shows what will the effect on patients vision if not treated early or severity level of human eye vision.

Figure 2: Progression of Glaucoma with increase in pressure (IOP).

Primary glaucoma and related conditions Primary angle-closure glaucoma

Latent glaucoma, Intermittent glaucoma, Acute congestive glaucoma, Post congestive angle- closure glaucoma, Chronic closed angle glaucoma, Absolute glaucoma.

Figure 3: Glaucoma patient Images.

In figure 3 we can see a) early stage, b) Moderate stage, c) sever stage glaucoma patient Images [3].

Glaucoma detection – work flow

Figure 4: Workflow.

  Figure 4 shows workflow difference of normal eye image and glaucoma image cup to disc ratio. According to ophthalmologist for normal condition of human eye for vertical and horizontal diameter of eye size is 1 mm. So when eye has pressure its cup/disc ratio may vary from 0.1 to 0.9. But if cup to disc ratio size is more than >0.5 mm then this is called case of glaucoma. If cup to disc ratio size < 0.5 mm then its normal eye condition. Therefore is important to keep regular follow of eye examination [7].

  The eye continually produces some fluid. This fluid flows between iris and membrane. Fluid generated by eye determines internal pressure of eye. Sometimes due to physical exertion or due to aging this pressure may increase or decrease in human body. This increase in fluid ultimately results in to increase in cup and disc size [4].

Type of glaucoma

Figure 5: Stages of Glaucoma.

Figure 5 shows the disease stages of glaucoma a) Normal, b) mild, c) Severe.

  With increase in intraocular pressure (IOP), size of the Cup and Disk may increase or it may damage. This action is responsible for change in internal pattern structure of retina, ultimately vision may change. Thus patient’s diagnostic priorities can be blow.

Figure 6: Spectrum of disease (optic disc size difference).

  Figure 6 shows the effect of increase in pressure on Optic disc and cup size. In figure 6 a) glaucoma image has increase in size of cup and disc, which gives bluer vision. In figure 6 b) normal image having normal cup and disc size, which gives good vision.

Primary open angle glaucoma (POAG): Primary open angle glaucoma severity increases with increase in pressure IOP (>21 mm of Hg).

IOP (>21 mm of Hg) this value is depend on change in cup and disk size and their effect on vision.

  Ocular hypertension or glaucoma suspect: When intraocular pressure IOP on eye persistently more than 21 mm of Hg but if still there is no effect on shape and size of optic disc or vision.

Traditional tension eye disease (NTG) or low tension eye disease (LTG)

  It is diagnosed once typical glaucomatous disc bloodletting with or while not sight view changes is related to associate degree pressure perpetually below twenty one metric linear unit of Hg. Glaucoma is associate degree insidious un wellness as a result of it seldom causes symptoms. Detection and interference area unit solely potential with routine eye examinations. However, bound varieties, like angle closure and inherent, do cause symptoms [8].

  Angle Closure (emergency),Sudden decrease of vision, Extreme eye pain, Headache Nausea and instinctive reflex, Glare and light-weight sensitivity, Congenital, Tearing, Light sensitivity, Enlargement of the tissue layer. Because eye disease doesn't cause symptoms in most cases, those that area unit forty or older ought to have associate degree annual examination together with an activity of the pressure. Thus area unit eye disease suspects may have extra testing [8,9].

  Ophthalmologist uses ophthalmoscope for the measurement of extra pressure in retina. For the vision test they use gonioscopy. The doctor evaluates the nervous optics and grades its health by noting the cup to disc quantitative relation. This is often merely a comparison of the cup (the depressed space within the center of the nerve) to the whole diameter of the nervous optics. As eye disease progresses, the world of bloodletting or depression, increases. Therefore, a patient with a better quantitative relation has a lot of harm.

Methodology

Module 1 RGB to gray conversion

  It is required to convert picture in grayscale from rgb because, in grayscale image information can be Cleary observe. Cup to disc calculations becomes easier using grayscale conversion.

Module 2 Preprocessing

  Histogram Equalization was updated technique. Histogram leveling could be popular in medicinal claim to fame picture process, since it's horribly powerful in making the occasionally eye catching notable segments a great deal of evident.

Module 3 Optic disk localization/detection

  To get cup to disc ratio CDR, difficult job is to find and fragment the plate. The plate restriction centers on discovering partner rough area of the circle, frequently the circle focus.

  In figure 7 we portion the circle utilizing oneself surveyed plate division techniques are combinations of methodologies like Edge Detection and Circular Hough Transform. Thus Edge Detection technique is mostly used for the detection of eye diseases.

Figure 7: Optic disk and cup view.

Module 4 Optic disk segmentation

  We basically applied Otsu’s method to detect optic plate. Thus it is necessary to know exact level of thresholding level. Thresholding level shows grayscale tissue layer of retinal image. Thus only optic plate seen in white shade and consequently the foundation are of dark shading can be observe.

Module 5 Optic cup segmentation

  The cup is situated to inner side of the plate region. We utilize morphological activities for segmentation. Morphological operations like opening, closing, dilation and erosion. Dilation- technique used to expand the pixel area in the image Erosion-used to erode/reduce the pixel area.

Module 6 Cup to disk ratio (CDR)

  Based on the world occupied by the divided disk and therefore the cup, CDR is computed. The optic disc and eyecup divided image is given because the input. The CDR ratio is obtained at the output. Then eye condition consider as normal, Moderate or extreme

Results and Discussion

Primary glaucoma

  For glaucoma detection we tested all kind of images from standard database. We taken normal stage, mild stage and sever stage condition patient’s image. Then we tested our program of processing of image.

  Thus ophthalmologist has decided their slandered ratio; according to this ratio visibility of patients can be decided. CDR=Area of cup/Area of Disk.

  • Depending on the CDR fluctuate persistent condition is known as customary, Moderate or
  • Expected yield is that the state of the
  • Normal, Moderate or extreme
Condition CDR range

GRADE 1(NORMAL)

0≤CDR≤0.4

GRADE 2(MODERATE)

0.4<CDR<0.55

GRADE 3(SEVERE)

CDR≥0.55

Table 1: Grade condition.

  Table 1 shows standard grade decided by ophthalmologist. According to ophthalmologist for normal condition of human eye for vertical and horizontal diameter of eye size is 1 mm. So when eye has pressure its cup/disc ratio may vary from 0.1 to 0.9.

  • If cup to disc ratio size is more than >0.5 mm then this is called case of
  • If cup to disc ratio size is more than .04 and less than 0.55 then its moderate
  • If cup to disc ratio size < 0.5 mm then its normal eye condition. Therefore is important to keep regular follow of eye examination [11].
Normal condition

Figure 8: Processed on normal image showing normal cup and disk size.

Figure 8 shows the normal eye condition, these images have normal size of cup and disc.

Now because of proper cup and disc size human vision is clear. Cup to disc ratio size < 0.5 mm then its normal eye condition

Cup to disk ratio (CDR)

  In study of Ophthalmology, they have decided some slandered values of Cup size and disk size. Also if pressure inside the eye increases due to diseases like glaucoma then both cup size and disk size may change. The eye continually produces some fluid. This fluid flows between iris and membrane. Fluid generated by eye determines internal pressure of eye. Sometimes due to physical exertion or due to aging this pressure may increase or decrease in human body. This increase in fluid ultimately results in to increase in cup and disc size.

Figure 9:

In figure 9 shows stages of glaucoma disease a) Normal optic nerve, b) Mild cupping, c) Severe cupping.

  According to ophthalmologist for normal condition of human eye for vertical and horizontal diameter of eye size is 1 mm. So when eye has pressure its cup/disc ratio may vary from 0.1 to 0.9. But if cup to disc ratio size is more than >0.5 mm then this is called case of glaucoma. If cup to disc ratio size is more than .04 and less than 0.55 then its moderate glaucoma.

  If cup to disc ratio size < 0.5 mm then its normal eye condition. Therefore is important to keep regular follow of eye examination [11].

Figure 10: Image is process to get cup to disc ratio.

  Figure 10 a) Severe, b) Moderate, c) Normal shows stages of glaucoma. In figure 10 a) severe we can clearly observe that, patient have glaucoma symptom because cup and disc size is large than regular size of cup and disc. Here cup to disc ratio size is more than >0.5 mm therefor this is called case of glaucoma condition of eye. So patients will have blur or blind vision.

  In figure 10 b) Moderate condition we can see that images has cup to ratio 0.4

Our method

Severe

Moderate

Normal

Area (mm)of Optic cup

2793

1975

869

Area (mm)of Optic Disc

4396

4470

4864

Cup to Disc Ratio (mm)

0.6354

0.4418

0.1787

Table 2: Disease level comparison.

Table 2 clearly shows comparison between Cup/Disc ratio normal, moderate and sever condition. Here we can easily decide if patient glaucoma disease severity level.

Optic cup segmented image

  The cup is present inside the disk region. It was segmented by using morphological operations such as morphological opening, closing, dilation and erosion.

Figure 11: Determination of optic Cup.

In figure 11 a) we have find optic cup area size of retina is 796 mm.

Optic disk segmented image
  • The optic disk is segmented by using Otsu thresholding
  • Based on the thresholding level, the grayscale retina image was converted to black and white image in which, the centre portion, i.e. the optic disk alone will be in white color and the background will be in black

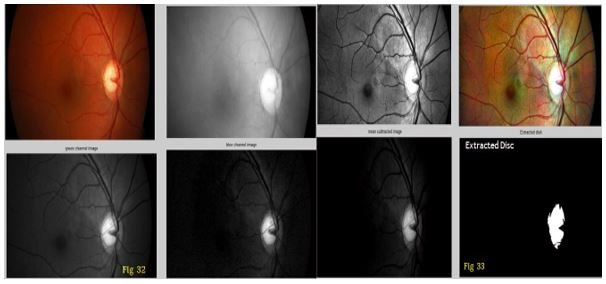
Figure 12: Determination of optic Disc.

Figure 12 we have find out area of optic Disc of retina which is 2346.

  According to our condition if cup/disk < 0.4 then it is earlier stage glaucoma. Above figure cup to disk ratio is 0.3393 so above image is Normal eye image. In this patients image no Gluacoma symptom is found.

Figure 13: Window showing results of abnormal cup and Disk size.

Figure 13 shows MATLAB window showing results of abnormal cup and Disk size.

Severe stage

Figure 14: Showing severe stage Glaucoma.

  In above figure 14 we can observe all steps of glaucoma image processing. After processing on image we can see cup extracted image and disk extracted image. In above figure we can Cleary see increase in size of cup and disk. That is symptom of severe glaucoma. In above figure 14 we calculated cup to disk ration which is 0.5920.

According to condition if cup/disk > 0.55 then it is severe condition of glaucoma. In this patients image we find gluacoma symptom.

Figure 15: Severe stage Glaucoma with increase in cup size.

Figure 16: Showing severe stage Glaucoma with cup/ratio 0.5840.

  In above figure 15 and 16 we can observe all steps of glaucoma image processing. After processing on image we can see cup extracted image and disk extracted image. In above figure we can Cleary see increase in size of cup and disk. This is symptom of severe glaucoma. In above figure we calculated cup to disk ration which is 0.5840.According to our condition, if cup/disk > 0.55 then it is severe condition of glaucoma. In this paitients image we find glaucoma symptom.

  In table 3 we have taken database, we have taken number of images for study and detection. Our system tries to find out level of disease if it is normal, mild or severs. In table 3 below we can Cleary see disease condition, area of cup and disk is given and its ratio is calculated.

Image no.

Images

Disease condition

Area            of optic cup

Area              of optic disc

Cup                to disc ratio

Gimg1

 

 

NORMAL CONDITION 0≤CDR≤0.4

 

 

796

 

 

2346

 

 

0.3393

Gimg2

 

MODERATE GLAUCOM A 0.4<CDR<0.

55

 

 

2376

 

 

4349

 

 

0.5463

Gimg3

 

 

MODERATE GLAUCOM A 0.4<CDR<0.

55

 

 

1975

 

 

4470

 

 

0.4418

Gimg4

 

 

SEVERE GLAUCOM A CDR≥0.55

 

 

2521

 

 

4158

 

 

0.6063

Gimg5

 

 

SEVERE GLAUCOM A CDR≥0.55

 

 

2793

 

 

4396

 

 

0.6354

Gimg6

 

MODERATE GLAUCOM A 0.4<CDR<0.

55

 

 

3984

 

 

6993

 

 

0.5697

Gimg7

 

MODERATE GLAUCOM A 0.4<CDR<0.

55

 

 

3269

 

 

6210

 

 

0.5264

Gimg8

 

MODERATE GLAUCOM A 0.4<CDR<0.

55

 

 

0.2193

 

 

0.4565

 

 

0.4804

Gimg9

 

MODERATE GLAUCOM A 0.4<CDR<0.

55

 

 

0.3204

 

 

0.6417

 

 

0.4993

Gimg10

 

 

NORMAL CONDITION 0≤CDR≤0.4

 

 

869

 

 

0.4864

 

 

0.1787

 

Table 3: Cup to disk ratio evaluation.

Graph 1 and 2 shows whole database images cup to disc size and ratio for comparison.

Conclusion

  • 49% accuracy rate is detecting optic disk and cup area.
  • As per ophthalmologist slandered we can give our
  • Glaucoma severity level can be easily
  • The Sensitivity and specificity of detection achieved 92.68% and 98.20%, respectively This research work is on Optic disk localization/detection, then by optic disk segmentation and by Optic cup segmentation. We find small discs as having vertical diameters less than 1.5 mm and large discs as having vertical diameters greater than 2 mm. we decide grade like if C/D ratio is 0≤CDR≤0.4 then eye is normal. If C/D ratio is 0.4<CDR<0.55 then glaucoma disease condition id moderate and if it is CDR≥0.55 then eye is in severe stage of glaucoma disease. We have taken 10 patients eye images for study, out of this we find, 2 Normal, 6 moderate stages of images.

Graph 1: Area showing Cup and Disk size.

Graph 2: Area showing Cup and Disk Ratio.

Bibliography

  1. https://www.google.co.in/search?q=glaucoma&sxsrf=ALeKk00ylLS9lv9VVFohUwvsRxSk_8uwA:1583153434448&source=lnms&tbm=isch&sa=X&ved=2ahUKEwiq8NaQ6vvnAhVWT30KHf5rB-cQ_AUoAXoECBEQAw&biw=1366&bih=632
  2. Juan Xu., et al. “Automated Assessment of the Optic Nerve Head on Stereo Disc Photographs”. Investigative Ophthalmology and Visual Science6 (2008): 2512-2517.
  3. WHO: Glaucoma bulletin (2011).
  4. , et al. “Detection of glaucoma using retinal fundusimages”. Biomedical Engineering International Conference (BMEiCON) 2013 6th. IEEE (2013).
  5. Hatanaka, Yuji., et al. “Automatic measurement of cup to disc ratio based on line profile analysis in retinal images”. Engineering in Medicine and Biology Society, EMBC, 2011 Annual International Conference of the IEEE. IEEE (2011).
  6. Babu TR Ganesh., et al. “Automatic detection of glaucoma using fundus image”. European Journal of Scientific Research1 (2011): 22-32.
  7. Murthi A and M Madheswaran. "Enhancement of optic cup to disc ratio detection in glaucoma diagnosis”. Computer Communication and Informatics (ICCCI), 2012 International Conference on. IEEE (2012).
  8. Ho Chih-Yin., et al. “An atomatic fundus image analysis system for clinical diagnosis of glaucoma”. Complex, Intelligent and Software Intensive Systems (CISIS), 2011 International Conference on. IEEE (2011).
  9. https://in.mathworks.com/
  10. https://in.mathworks.com/products/image.html?s_tid=srchtitle
  11. Ahmed Wasif Reza., et al. “Diagnosis of Diabetic Retinopathy: Automatic extraction of optic disc and exudates from retinal images using marker-controlled watershed Transformation”. Journal of Medical Systems 35 (2011): 1491-1501.

Copyright: © 2021 Jyoti Patil and Sharmila Chaudhari. This is an open-access article distributed under the terms of the Creative Commons Attribution License, which permits unrestricted use, distribution, and reproduction in any medium, provided the original author and source are credited.



News and Events


  • Publication Certificate
    Authors will be provided with the Publication Certificate after their successful publication
  • Last Date for submission
    Authors are requested to submit manuscripts on/before February 10, 2026, for the second issue of 2026.

Contact US