Acta Scientific Microbiology (ISSN: 2581-3226)

Research ArticleVolume 4 Issue 5

Molecular Epidemiology and Therapeutic Management of Carbapenem Resistant Nosocomial Pathogens

Shilpa Chatterjee*

Project Lab Technologist (CIAT Study), Tata Medical Centre, Kolkata, India

*Corresponding Author: Shilpa Chatterjee, Project Lab Technologist (CIAT Study), Tata Medical Centre, Kolkata, India.

Received: March 03, 2021; Published: April 27, 2021

Citation: Shilpa Chatterjee. “Molecular Epidemiology and Therapeutic Management of Carbapenem Resistant Nosocomial Pathogens". Acta Scientific Microbiology 4.5 (2021): 50-55.

Abstract

Background: The World Health Organization (WHO) has recognized Carbapenem resistant bacteria as critical pathogens owing to their severe mortality and morbidity in patients with Blood stream infections usually referred to as “Bacteremia” or “Septicemia”, especially in clinical and health care settings. Their growing incidence and wide diversity is a global concern, as only a handful of antimicrobial agents are active on them at present.

Objective: This study was designed to study the molecular epidemiology of carbapenem resistant bacteria isolates and also to find the therapeutic efficacy of the last resort polymyxin antibiotic colistin against these nosocomial pathogens.

Methods: In this study, non duplicate GNB were tested from clinical samples of Eastern Indian patient population and phenotypic tests such as Kirby Bauer’s Disk Diffusion Assay, MHT were performed on Carbapenem resistant bacteria. Genotypic assays like Multiplex PCR was performed to identify the presence of 8 big genes mostly found in Eastern Indian population i.e. blaNDM, blaKPC, blaVIM, blaIMP, blaOXA48, blaOXA23, blaOXA24, blaOXA48, blaOXA58. MIC of polymyxin antibiotic Colistin was determined to check antibacterial efficacy against these strains.

Results: Of the 779 GNB studied, carbapenem resistance was 240(31%) of the isolates were tested positive for the carbapenamase gene. Among the carbapenem resistant bacterial pathogens, the most common Enterobacteriaceae was K. pneumoniae (61%) followed by E. coli (34%) whereas the most common carbapenem resistant organism was A. baumanii (59%) followed by P. aeruginosa (28%). The bla NDM (63%) was the most prevalent carbapenem resistance gene followed by blaOXA48 (22%). The Broth Micro dilution Assay result for MIC of Colistin showed that (77%) of CRE and (82%) of CRO were sensitive to Colistin.

Conclusion: Prudent use of antibiotics and stringent infection control measures should be implemented in hospital settings to limit the emergence and spread of multi drug resistant nosocomial pathogens such as carbapenem resistant GNB’s.

Keywords: Antimicrobial Resistance; Gram Negative Bacteria; Carbapenamase; Colistin; Multiplex Polymerase Chain Reaction; NDM

Introduction

  Carbapenem resistance in Gram negative bacteria has become a global concern. The 2017 WHO global priority list of pathogens ranks Carbapenem Resistant Enterobacteriaceae (CRE) in the highest priority category [1,7]. Previous studies suggest that patients who are infected by CRE, have an increased likelihood of morbidity and mortality compared to susceptible pathogens [1,2,8] which can be attributed to the suboptimal or no activity of antibiotics against these superbugs (Ref). Thus recognizing the risk of CRE specially in most vulnerable patient group is crucial to reduce the risk of mortality and morbidity [8,9]. Evidence suggests that the alarming level of Carbapenem resistance was due to the low permeability of the outer membrane to several antibiotics, not only Carbapenem, which has imposed a serious challenge for infection control and management. Resistance mechanisms include mutations/alterations of porin protein channels, efflux pumps or plasma membrane translocases, through which the antibiotics are shunted out of the bacterial cells [7,8].

Figure 1: Image showing the different resistant mechanisms adopted by Carbapenem resistant GNB’s.

  To address this global epidemic, identification and surveillance of carbapenem resistance is an absolute prerequisite. It is clear that understanding of specific mechanisms underlying CRE and monitoring of molecular epidemiology of the Carbapenem resistant pathogens would lead to more effective treatment of such infections. WHO has recognized with special mention of E. coli, P aeruginosa and A. baumanii as critical pathogens, causing significant morbidity in patients with Blood Stream Infections (BSI). In this study, rapid/inexpensive predesigned multiplex PCR test was used to screen the clinically important carbapenamases “The Big 8 genes” blaNDM, blaKPC, blaVIM, blaIMP, blaOXA48, blaOXA23, blaOXA24,blaOXA48, blaOXA58 [1,2].

Materials and Methods

Sample inclusion criteria

  The present study was conducted from August 2020 to January 2021, at the Department of Microbiology, Tata Medical Centre, Kolkata, India. In this study, consecutive BC broths were collected from patients with laboratory confirmed BSI for the afore mentioned time period and the study was cleared by the Institutional Ethics committee.

Samples collection

GNB was also isolated from the following types of samples that included the following:

  • Blood, sputum, pus swab, Broncho Alveolar Lavage (BAL), (ET) Endotracheal, Body fluids, bile, throat swab, urine reflex, AB drain, peritoneal fluid. The bacterial colonies identified by Vitek 2 were subjected to further phenotypic and genotyping analysis for detection of Carbapenem resistance.
Bacterial identification

  Non duplicate GNB isolated from various species were identified using conventional techniques like Manual Microscopic gram staining, automated Vitek 2 Compact. Blood culturing was performed using the BAC T/Alert 3D system (biomerieux, Maray-1 Eloile, France) and identification and susceptibility testing of BC isolates were conducted using the Viek2 system. Carbapenem sensitive results were intepretated flowing CLSI guidelines [1-3].

Multiplex PCR for surveillance of Carbapenem resistant pathogens

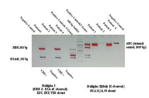
  Two multiplex PCR’s were then performed to detect 8 carbapenam resistant genes NDM (603 bp), KPC (353 bp) VIM (437 bp) IMP (387 bp) OXA48 (265 bp) OXA23 (330 bp) OXA24 (271 BP) OXA58 (688 bp) with Acinetobacter derived cephalosporinase (ADC) as the Internal Extraction control, 1059 bp and PCR control. The PCR amplicons were visualized on 3% prestained agarose gel with EtBr; known +ve controls for appropriate genes were used in all the runs in parallel.

Disk diffusion test for antimicrobial susceptibility testing (AST)

AST was performed by manual Kirby Bauer’s disk diffusion method further, to look for treatment options for this CRE.

Broth micro dilution (BMD) test for testing efficacy of colistin

  BMD test was performed using untreated 96 well polystyrene well plates (Greiner, Frickenhausen, Germany) containing 2 fold dilutions of colistin sulphate salt(concentration 0.5µg-16µg/ml) with appropriate Growth Control (GC) and Antibiotic Control (AC). MIC of Colistin was determined using BMD, and results were interrelated as per CLSI guidelines [1-3,6,7]. Colistin, the last resort antibiotic has been documented previously as a valuable antibiotic (Ref). In 2016, the CLSI and EUCAST jointly recommended of Colistin [3,8-10].

Results and Discussions

Bacterial isolates

  A total of 1208 clinical Samples were processed and 779 GNB were isolated. The isolates comprised of Lactose fermenting Enterobacteriaceae namely E. coli (n = 190), with K. pneumoniae (n = 287) being the major isolate, and NF GNB (N = 332), P. aeruginosa (n = 108) with A. baumanii (n = 170) being the major isolate. Among the Carbapenem resistant bacteria, overall the most common CRE was K. pneumoniae (n = 101) and CRO being A. baumanii (n = 44). Multiplex PCR were positive for the most prevalent gene blaNDM, blaOXA48, followed by blaOXA23. and blaKPC. The findings were in concurrence to previously published reports from India [1-3]. MIC of Colistin was determined by Broth Micro dilution Method (BMD) and an average of 77% of CRE was sensitive to Colistin, whereas 82% of CRO was sensitive to Colistin. Quality control was assessed using the strains E. coli ATCC 25922 (Col MIC (0.25 - 1 µg/ml) P. aeruginosa ATCC 27853 (Col MIC 0.25 - 2 µg/ml) and mcr1 positive E. coli NCTC 13846 (Col MIC 4 -16 µg/ml).

Figure 2: Image showing the different phenotypic screens adopted in this study to screen for the carbapenem resistant pathogens and their susceptibility to known antibiotics.

Organisms (CRE)

Fermenters

Total No (n)

CarbapenemR

Colistins

% Colistins

E. coli

190

57

43

75.43

K. pneumoniae

287

101

79

78.2

Citrobacter sp

04

04

03

75

E. cloaceae

11

04

03

75

Non fermenters (NFGNB/CRO)

P. aeruginosa

108

21

17

80.9

A. baumanii

170

44

37

84.09

Proteus sp

02

02

01

50

C. indolegenes

02

02

02

100

E. meningoseptica

02

02

02

100

S maltophilia

01

01

01

100

M. morganii

02

02

01

100

Table 1: Molecular epidemiology and therapeutic options for treating Carbapenamase Resistant GNB: Total GNB studied: (n = 779).

Figure 3: Pie chart showing the proportion of CRE/CRO NFGNB in clinical samples.

Figure 4: Pie Chart showing the proportion of common carbapenem resistant pathogens CRE (A) and CRO (B) in clinical specimens.

Figure 5: Pie chart showing the proportion of Colistin susceptible & resistant Carbapenem resistant GNB’s.

Figure 6: Gel Doc Image of Post (Multiplex) PCR analysis of the carbapenem resistant genes.

Figure 7: Gel Doc Image of post PCR analysis of Carbapenem resistant genes.

Strength
  • Demonstration of molecular epidemiology of carbapenem resistant genes among group of oncology patients in Eastern Indian population.
  • This study takes into account both phenotypic and genotypic methods of testing for the surveillance of Carbapenem resistant nosocomial pathogens.
  • Identification of potential target genes could be made which can lead to development of new drugs to treat GNB infections.

Therapeutic efficacy of last resort drugs like Colistin against these carbapenem resistant pathogens by determining their MIC was shown.

Strength
  • Demonstration of molecular epidemiology of carbapenem resistant genes among group of oncology patients in Eastern Indian population.
  • This study takes into account both phenotypic and genotypic methods of testing for the surveillance of Carbapenem resistant nosocomial pathogens.
  • Identification of potential target genes could be made which can lead to development of new drugs to treat GNB infections.

Therapeutic efficacy of last resort drugs like Colistin against these carbapenem resistant pathogens by determining their MIC was shown.

Weakness
  • Use of Colistin and other polymyxins is a challenge by the emergence of the plasmid borne mobile Colistin resistant gene mcr 1, since mcr 1is capable of horizontal transfer between different strains of bacterial species especially Enterobacteriaceae (Ref).
  • Moreover these drugs are not devoid of side effects like nephrotoxicity and neurotoxicity.

Conclusion

  Rapid and early detection of carbapenamase are of paramount importance for optimizing antimicrobial therapy for improving patient outcome and the management of health care associate infections with minimizing the cost of health care. Prudent use of antibiotics and strict infection control practices should be implemented and followed to limit the emergence and spread of multi drug resistant nosocomial pathogens.

Financial Support

The financial support for this research project work CIAT(CDC-ICMRAIIMS-TATA) study, mostly came from CDC and ICMR.

Conflict of Interest

No conflict of interest relevant to this article.

Acknowledgement

  I would like to thank the entire department of Microbiology of Tata Medical Centre, Kolkata and my project PI Dr. Sanjay Bhattacharya for supporting me throughout this project.

Appendix

Mechanism of colistin

  Colistin is a polymyxin group of antibiotic that binds to LPS and phospholipids in the outer Cell Membrane of GNB and competitively displaces divalent cation Mg+2 and Ca+2from PO42- group of membrane lipids of the cell membrane which leads to disruption of the outer cell membrane, leakage of intracellular contents and bacterial death. It is the last resort antibiotic against MDR GNB, P. aeruginosa, K. pneumoniae, Acinetobacter a sp. Colistin is a polycationic peptide having lipophilic and hydrophilic moieties which competes with the divalent cations from bacterial cell membrane. It is however not devoid of side effects being highly nephrotoxic and neurotoxic.

Figure 8: Schematic illustration of the Cell lysis mechanism adopted by Colistin to kill bacteria adopted from [5].

Bibliography

  1. Garg A., et al. “Molecular epidemiology and therapeutic options of carbapenem-resistant Gram-negative bacteria”. The Indian Journal of Medical Research2 (2019): 285.
  2. Das S., et al. “Rapid and economical detection of eight carbapenem-resistance genes in Enterobacteriaceae, Pseudomonas spp, and Acinetobacter spp directly from positive blood cultures using an internally controlled multiplex-PCR assay”. Infection Control and Hospital Epidemiology6 (2019): 737-739.
  3. Das S., et al. “Colistin susceptibility testing of gram-negative bacilli: Better performance of vitek2 system than E-test compared to broth microdilution method as the gold standard test”. Indian Journal of Medical Microbiology 1 (2020): 58-65.
  4. Núñez L E., et al. “The biosynthetic gene cluster for the β-lactam carbapenem thienamycin in Streptomyces cattleya”. Chemistry and biology4 (2003): 301-311.
  5. Nordmann P and Poirel L. “Epidemiology and diagnostics of carbapenem resistance in gram-negative bacteria”. Clinical Infectious Diseases 69 (2019): S521-S528.
  6. Kazi M., et al. “Molecular characterization of carbapenem-resistant Enterobacteriaceae at a tertiary care laboratory in Mumbai”. European Journal of Clinical Microbiology and Infectious Diseases3 (2015): 467-472.
  7. Yu F., et al. “Multiplex PCR analysis for rapid detection of Klebsiella pneumoniae carbapenem-resistant (sequence type 258 [ST258] and ST11) and hypervirulent (ST23, ST65, ST86, and ST375) strains”. Journal of Clinical Microbiology 9 (2018).
  8. Veeraraghavan B., et al. “Carbapenem resistant Klebsiella pneumoniae isolated from bloodstream infection: Indian experience”. Pathogens and Global Health5 (2017): 240-246.
  9. Mahmoud NE., et al. “Detection of Carbapenem-Resistant Genes in Escherichia coli Isolated from Drinking Water in Khartoum, Sudan”. Journal of Environmental and Public Health (2020).
  10. Abdulall AK., et al. “Carbapenem-resistant Gram-negative bacteria associated with catheter-related bloodstream infections in three intensive care units in Egypt”. European Journal of Clinical Microbiology and Infectious Diseases 9 (2018): 1647-1652.

Copyright: © 2021 Shilpa Chatterjee. This is an open-access article distributed under the terms of the Creative Commons Attribution License, which permits unrestricted use, distribution, and reproduction in any medium, provided the original author and source are credited.



News and Events


  • Publication Certificate
    Authors will be provided with the Publication Certificate after their successful publication
  • Last Date for submission
    Authors are requested to submit manuscripts on/before February 05, 2026, for the second issue of 2026.

Contact US